ホワイトニングの症例
HOME > ホワイトニングの症例
ホワイトニング治療例
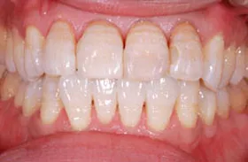
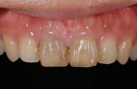
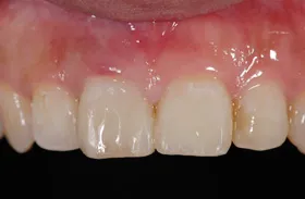
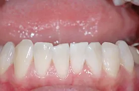
ホワイトニング治療例1
■治療前
歯が変色し来院されたケースです。
■治療後
今後は、ラミネートベニヤによる処置を予定しています。
| 主訴 | 歯の色の審美性を高めたい |
|---|---|
| 治療方法 | オフィスホワイトニングにより治療 |
| 治療期間 | 約2週間 |
| 通院回数等 | 2回 |
| 費用 | 料金表通り |
| リスク・副作用 | 知覚過敏が生じることがある |
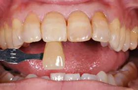
ホワイトニング治療例2
■治療前
神経を取った為、歯が変色し来院されたケースです。
■治療後
変色した歯が白くキレイになりました。
| 主訴 | 歯の色の審美性を高めたい |
|---|---|
| 治療方法 | 歯の裏側から薬剤を入れて治療 |
| 治療期間 | 約3週間 |
| 通院回数等 | 3回 |
| 費用 | 11,000円(税込) |
| リスク・副作用 | 効果に個人差が出る |
ホワイトニング治療例3
■治療前
■治療後
| 主訴 | 歯の色の審美性を高めたい |
|---|---|
| 治療方法 | ホームホワイトニング |
| 治療期間 | 約2週間 |
| 通院回数等 | 3回 |
| 費用 | 料金表通り |
| リスク・副作用 | 効果に個人差が出る・知覚過敏が生じることがある |
ホワイトニング治療例4
■治療前
漂白して、表面を少しだけ削り、CR(コンポジットレジン)で修復したケースです。
■治療後
変色した歯が、キレイに自然な白色になりました。
| 主訴 | |
|---|---|
| 治療方法 | |
| 治療期間 | |
| 通院回数等 | |
| 費用 | |
| リスク・副作用 |

