審美歯科の症例

HOME > 審美歯科の症例

審美歯科治療例

歯の先端が欠けて来院されたケース

■治療前

審美歯科治療例1 治療前

■治療後

審美歯科治療例1 治療後
主訴 歯の先端が欠けた
治療方法 診断用wax upを使用し形態を確認した上でレジンで修復
治療期間 約3週間
通院回数等 3回
費用 16,500円(税込)
リスク・副作用 形態にこだわりをもって治療する為、少し治療期間が長くなる。

歯の表面の先天的な変色がコンプレックスで来院されたケース

歯の表面の先天的な変色がコンプレックスで来院されたケース治療としてはマイクロスコープを使用し、歯の表層を削り、樹脂を用いて審美性の回復を行いました。

■治療前

審美歯科治療例2 治療前

■治療後

審美歯科治療例2 治療後
主訴 歯の色の見栄えをよくしたい
治療方法 診断用wax upを使用しレジンで修復
治療期間 約3週間
通院回数等 3回
費用 38,500円(税込)
リスク・副作用 色調にこだわりをもって治療する為、少し治療期間が長くなる。

ラミネートベニア治療例

■治療前

審美歯科治療例3 治療前

歯牙の変色。前歯の変色をきれいにしたい。
かみ合わせが悪く前歯があたっていたので、まず、矯正治療を行い歯のポジションを修正。矯正し回りの歯を明るくするためにホワイトニング。その後、気になっている部分にラミネートベニアをセット。歯並びをよくすることで機能を改善し、ラミネートベニアを使って審美性の回復も行いました。

遠くから見るとおはぐろのように黒く見えるのが気になって来店されましたが、治療後はきれいになったのでとても喜んで頂きました。

■治療前

審美歯科治療例3 治療前

■治療後

審美歯科治療例3 治療後

■ホワイトニング前

審美歯科治療例3 ホワイトニング前

■ホワイトニング後

審美歯科治療例3 ホワイトニング後

■治療前

審美歯科治療例3 治療前

■治療後

審美歯科治療例3 治療後
主訴 中切歯の審美障害(見た目を良くしたい)
治療方法 全体にホワイトニングを行った後、PLV(ポーセレンラミネートべニア)で修復
治療期間 約2ヶ月
通院回数等 10回
費用 154,000円(税込)
リスク・副作用 ホワイトニングを行うことで、一時的に知覚過敏が生じることもあります。

ラミネートベニア治療例2

歯の表面にセラミックを接着し、審美的に美しく患者様に満足して頂けた症例です。

■治療前

審美歯科治療例4 治療前

■治療後

審美歯科治療例4 治療後

■治療前

審美歯科治療例4 治療前

■治療後

審美歯科治療例4 治療後

■治療前

審美歯科治療例4 治療前

■治療後

審美歯科治療例4 治療後
主訴 歯の色に対する審美障害
治療方法 診断用wax upを作成し、PLV(ポーセレンラミネートべニア)で治療を行いました
治療期間 約2ヶ月
通院回数等 8回
費用 1,320,000円(税込)
リスク・副作用 重度の色調の審美障害の為、色調の調整に時間を要する。

オールセラミック治療例1

■治療前

審美歯科治療例5 治療前

上の前歯の見た目が気になる、という審美障害が主訴で御来院されました。

■治療前

審美歯科治療例5 治療前

■治療後

審美歯科治療例5 治療後
審美歯科治療例5

上の前歯の見た目が気になる、という審美障害が主訴で御来院されました。

■治療前

審美歯科治療例5 治療前

■治療後

審美歯科治療例5 治療後

■治療前

審美歯科治療例5 治療前

■治療後

審美歯科治療例5 治療後
主訴 他医院で行った上顎前歯のオールセラミックの色が気に入らない
治療方法 上顎前歯4本をオールセラミックで治療
治療期間 約2ヶ月
通院回数等 10回
費用 550,000円(税込)
リスク・副作用 審美性だけでなく、機能を考えて形態を整える必要がある。

オールセラミック治療例2 ~数本の歯牙をオールセラミックで治療したケース~

■治療前

審美歯科治療例6 治療前

■治療後

審美歯科治療例6 治療後
主訴 歯の色・形に対する審美性を高めたい
治療方法 上顎前歯4本をオールセラミックで治療
治療期間 約2ヶ月
通院回数等 10回
費用 572,000円(税込)
リスク・副作用 審美性だけでなく、機能を考えて形態を整える必要がある。

オールセラミック治療例3 ~1本の歯牙をオールセラミックで治療したケース~

■治療前

審美歯科治療例7 治療前

■治療後

審美歯科治療例7 治療後
主訴 上顎右前歯のセラミックの審美性を高めたい
治療方法 全体をホワイトニング後、上顎右前歯をオールセラミックで治療
治療期間 約1ヶ月
通院回数等 6回
費用 143,000円(税込)
リスク・副作用 1本のみのオールセラミック治療は、他の歯との色調の調整が難しい

オールセラミック治療例4

審美歯科治療例8

金属でつめてあったものを、オールセラミックにやりかえたケースです。

審美歯科治療例8

従来は金属の詰め物ですが、点線で囲んだ部分はオールセラミックです。

主訴 金属の詰め物を白くしたい
治療方法 金属の詰め物を除去し、セラミックで治療を行った
治療期間 約1ヶ月
通院回数等 4回
費用 66,000円(税込)
リスク・副作用 色調を合わせるのが難しい

オールセラミック治療例5

■治療前

審美歯科治療例9 治療前

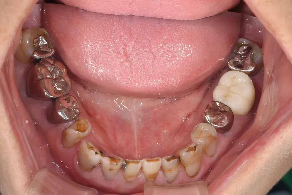
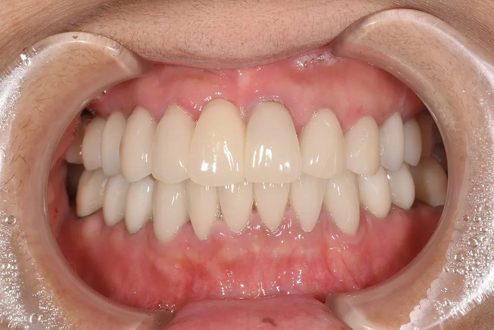
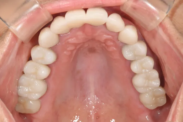
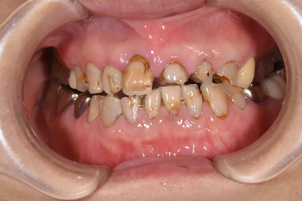
虫歯で歯がかけたところを、オールセラミックでやりかえたケースです。

■治療後

審美歯科治療例9 治療後

前歯の歯と歯茎の境目が、虫歯でぼろぼろの状態でした。オールセラミックによる治療で、自分の歯とほとんど同じ色調になりました。

主訴 かみ合わせの機能障害と見た目の審美性を高めたい
治療方法 全顎をオールセラミック補綴で治療
治療期間 約1.5年
通院回数等 30回
費用 4,004,000円(税込)
リスク・副作用 治療期間が長くなる

オールセラミック治療例6 ~多数歯に対しオールセラミックで対応したケース~

■治療前

審美歯科治療例10 治療前

■治療後

審美歯科治療例10 治療後

■治療前(拡大)

審美歯科治療例10 治療前(拡大)

■治療後(拡大)

審美歯科治療例10 治療後(拡大)
主訴 全体の審美性を高めたい
治療方法 全顎をオールセラミック補綴で治療
治療期間 約2年
通院回数等 40回
費用 4,004,000円(税込)
リスク・副作用 色調を合わせるのが難しい

オールセラミック治療例7(オールセラミックと漂白、レジン充填での審美治療)

小さなむし歯はレジン充填で修復し、大きなむし歯のある前歯は、オールセラミックを使用して修復しました。

■治療前

審美歯科治療例11 治療前

■治療後

審美歯科治療例11 治療後
主訴
治療方法
治療期間
通院回数等
費用
リスク・副作用

オールセラミック治療例8(矯正治療を行っての審美治療)

50代 女性
歯牙の変色、見た目が気になるとご相談をいただきました。

■治療前

審美歯科治療例12 治療前
審美歯科治療例12 治療前

■矯正中

審美歯科治療例12 矯正中

歯並びを整えるため、矯正治療をしております。

■治療後

審美歯科治療例12 治療後
審美歯科治療例12 治療後
主訴
治療方法
治療期間
通院回数等
費用
リスク・副作用

オールセラミック治療例9

60代 女性 審美的、機能的な問題を抱えておられ、ご相談をいただきました。
噛み合わせも合っていない状況でした。上下、オールセラミックを使用し治療致しました。

■治療前

審美歯科治療例13 治療前

■治療後

審美歯科治療例13 治療後

■治療前

審美歯科治療例13 治療前

■治療後

審美歯科治療例13 治療後

■治療前

審美歯科治療例13 治療前

■治療後

審美歯科治療例13 治療後

■治療前

審美歯科治療例13 治療前

■治療後

審美歯科治療例13 治療後
主訴
治療方法
治療期間
通院回数等
費用
リスク・副作用

オールセラミック治療例10

前歯の見た目が気になり来院。セラミックを使い審美的に回復しました。

■治療前

審美歯科治療例14 治療前

■治療後

審美歯科治療例14 治療後
主訴
治療方法
治療期間
通院回数等
費用
リスク・副作用

オールセラミック治療例11

■治療前

審美歯科治療例16 治療前

■治療後

審美歯科治療例16 治療後

■治療前

審美歯科治療例16 治療前

■治療後

審美歯科治療例16 治療後

■治療前

審美歯科治療例16 治療前

■治療後

審美歯科治療例16 治療後

■治療前

審美歯科治療例16 治療前

■治療後

審美歯科治療例16 治療後
主訴 かみにくい(咬合障害)・見た目をきれいにしたい(審美障害)
治療方法 顎位を精査し全顎補綴物による治療
治療期間 約1年
通院回数等 約20回
費用 約350万円
リスク・副作用 補綴物が過度な力で破損するリスクがある

歯肉ラインを含めた審美治療例

■治療前

審美歯科治療例15 治療前

■治療後

審美歯科治療例15 治療後
主訴 審美的な改善
治療方法 漂白+ダイレクトボンディング+歯肉切除+歯肉移植+ポーセレンラミネートベニア
治療期間 4ヶ月
通院回数等 10〜15回位
費用 25万円(税抜)
リスク・副作用 外科処置による痛み