歯周組織再生治療
HOME > 歯周組織再生治療
再生治療
歯周組織再生治療
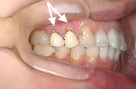
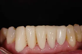
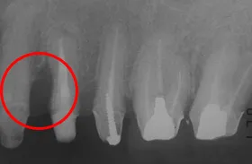
■治療前

歯周組織再生治療とは、歯周病により失われた歯周組織を再生・回復させる治療法です。
矢印の部分の歯茎が下がって、歯の根っこが見えています。
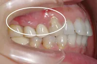
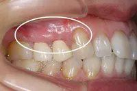
■治療後
術後1ヶ月

術後2ヶ月

術後3ヶ月

術前に比べ、歯茎の組織が再生され、健康な状態の時とほぼ同様になりました。
歯周組織再生治療例
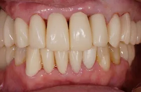
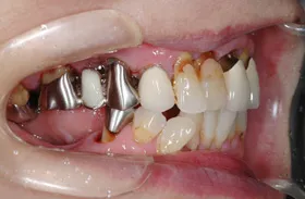
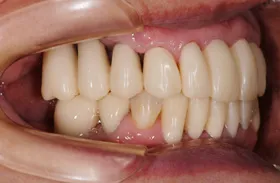
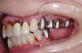
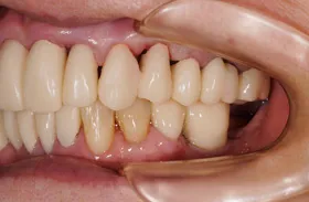
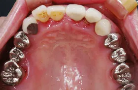
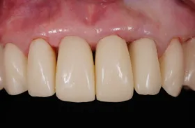
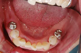
他院で「歯槽膿漏は治らない」と言われ、当院にご来院されました。歯が乱ぐいのため、歯並びもよくしたい、下は歯を既に失っているので噛めるようにもなりたい、またコーラスをされていて人前で口をあけることが多いので、できるだけ見た目を意識した治療をしてほしいとのご要望でした。
■治療前

■治療(仮歯装着)後

■治療前

■治療(仮歯装着)後

■治療前

■治療(仮歯装着)後

■治療前

■治療(仮歯装着)後

■治療前

■治療(仮歯装着)後

■治療前

■歯槽骨再生治療後

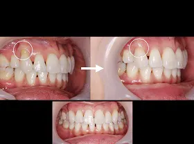
歯ならび及び歯茎の退縮が気になるケース



矯正治療にて歯ならびの改善
上顎右上3番に歯茎の移植
主訴 | 歯ならび不正及び歯茎の退縮による審美障害 |
---|---|
治療方法 | 矯正治療 + 歯茎の移植 |
治療期間 | 約3年 |
通院回数等 | 約36回 |
費用 | 約100万円(税込) |
リスク・副作用 | 術後の痛み |