矯正治療の症例
HOME > 矯正治療の症例
矯正治療例
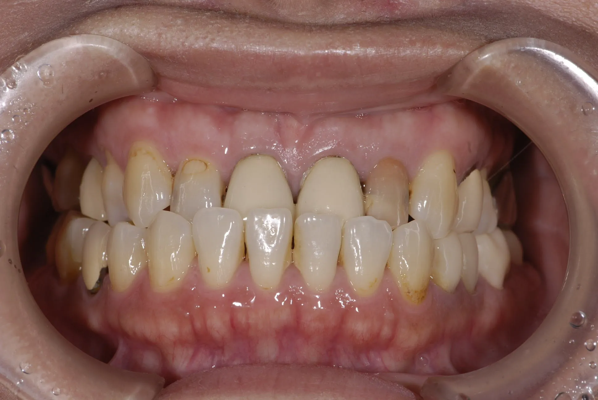
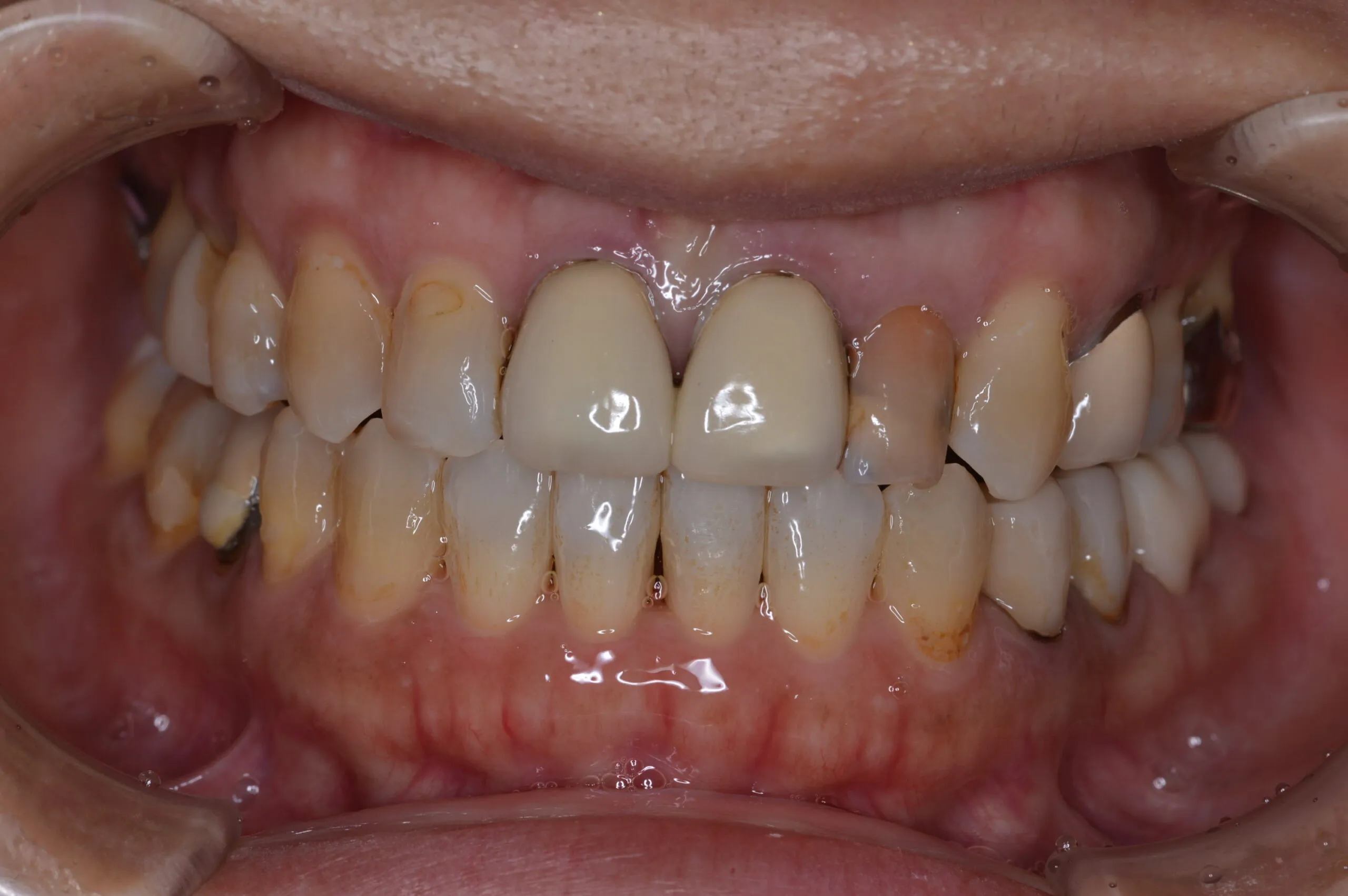
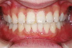
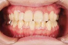
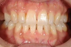
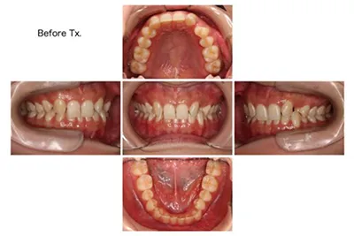
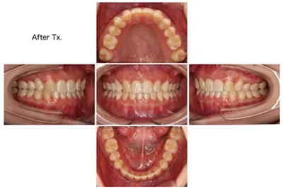
ゴボ口(口ゴボ)
■治療前

■治療後

主訴 | 口元が出ている(ゴボ口)のが気になる |
---|---|
治療方法 | 4本の抜歯してワイヤー矯正をしました。白い装置に白いワイヤーで治療したので、目立ちにくく 安心して治療を受けることができました。 |
費用 | 76万+税 |
備考 | 口元が出ているのが気になるということで前歯を大きく引っ込めるために抜歯をしています。前歯が引っ込んだので横顔がスッキリして口が閉じやすくなりました。治療期間:2年1ヶ月 来院回数:25回 |
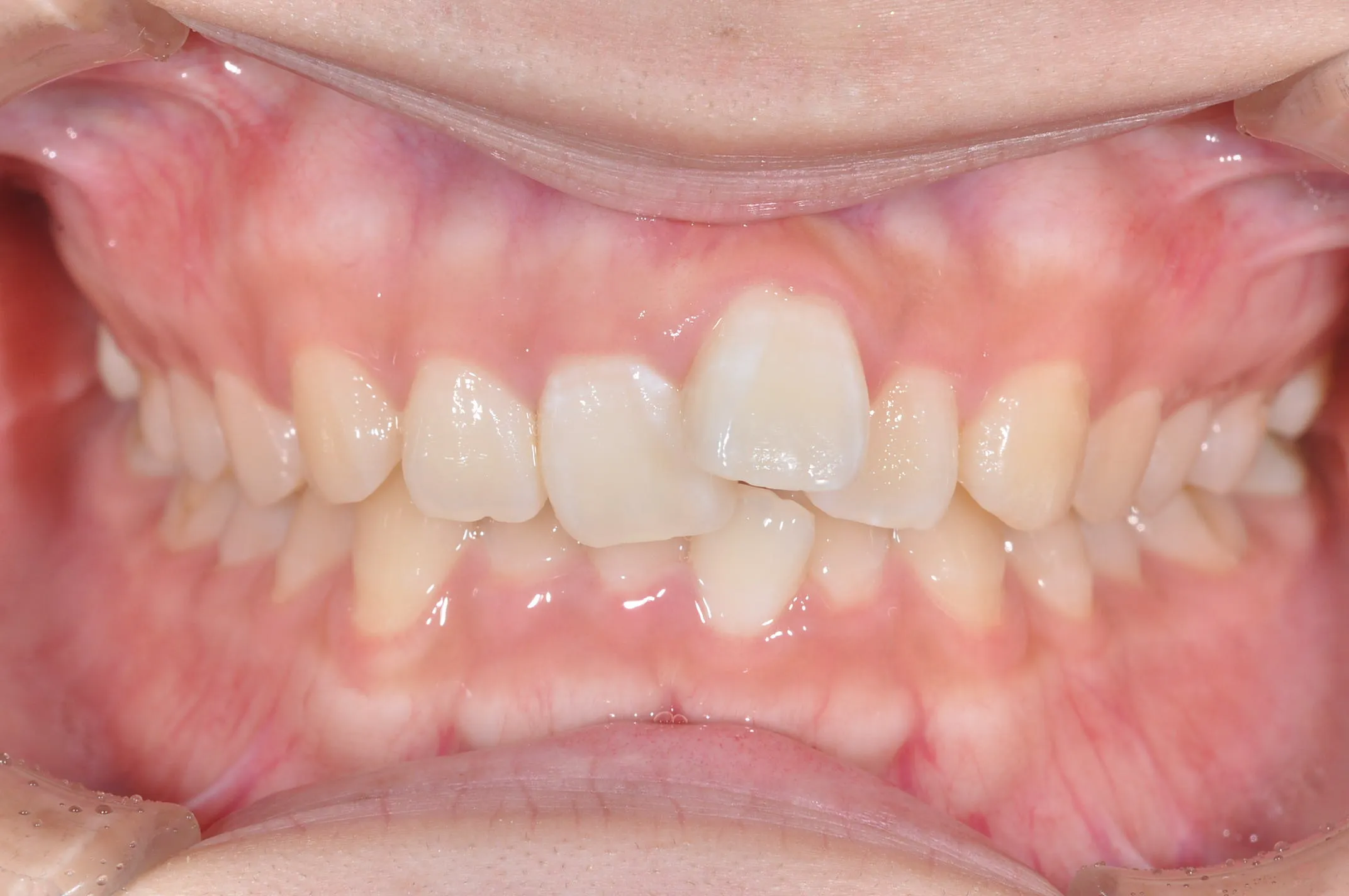
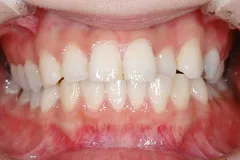
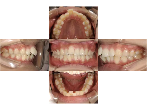
反対咬合(受け口の非抜歯のインビザライン矯正)
■治療前

■治療後

主訴 | 下の歯が前に出ている |
---|---|
治療方法 | 非抜歯のインビザライン矯正 歯を抜くことなくインビザラインのマウスピース矯正にて受け口の治療を行いました。 治療期間は約2年でした |
費用 | 88万円 |
備考 | 上下の歯に8本ほど被せ物がありましたが、マウスピースを真面目に装着されていたためマウスピースの作り直しも1回で済みました。ゴム掛けもきちんとされていたので、治療期間はほぼ最短で終了することができました。協力度の高い患者さんです。 |
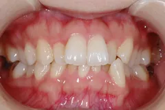
インビザライン(マウスピース矯正)出っ歯矯正治療例
■治療前

■治療後

主訴 | 左上の前歯がでているのが気になって来院されました。 |
---|---|
治療方法 | インビザラインを使用して18ヶ月で、動的治療を終了。奥歯から奥へ移動させないと前歯が逆にでてしまうので時間はかかりますが、奥歯から移動させました。 |
費用 | 88万円 |
副作用 | 顎関節症、歯根吸収、虫歯、歯周病 |
期間短縮の矯正治療
■治療前

■治療後

主訴 | 少しでも早く装置を外したい |
---|---|
治療方法 | オルソパルスを併用して治療期間を短縮させる方法です。オルソパルスとは矯正歯科において歯の移動を加速させる装置です。850nmの赤外線を歯に照射させることにより細胞を活性化させ歯の移動を早くするものです。 |
費用 | 72万5800円 |
副作用 | 虫歯、歯周病、歯根吸収、顎関節症 |
期間短縮の矯正治療
■治療前

■治療後

主訴 | 1週間で何とかしてほしい |
---|---|
治療方法 | 右上のところに人工歯をいれて隙間を埋めるようにしました。 |
費用 | 11万円 |
備考 | 1週間で何とかしてほしいと来院された患者さんです。とにかく時間がないため右上のところに人工歯をいれて隙間を埋めるようにしました。これだけでも大きく印象は変わります。あきらめずにご相談ください。 |
成人裏側矯正 治療例
■治療前

■治療後

主訴 | 上の前歯1本出ているのが気になるが矯正の装置も気になる。 |
---|---|
治療方法 | 裏側矯正装置を使用し歯並びを改善しました。治療期間6ヶ月でした。 |
費用 | 38万8800円 |
副作用 | 虫歯、歯周病、歯根吸収、顎関節症 |
成人裏側矯正 治療例
■治療前

■治療後

主訴 | 歯並びが気になるが矯正の装置も気になる |
---|---|
治療方法 | 笑った時に見える上の歯は、歯の裏側矯正(ハーフリンガル)の装置を付け見えない様にしました。笑った時に見えない下の歯は、歯の表側に矯正の装置を付けました。治療期間は1年9ヶ月でした。 |
費用 | 112万8000円 |
備考 | - |
成人裏側矯正 治療例
■治療前

■治療後

主訴 | 上下のがたがたを気にされていました。 |
---|---|
治療方法 | 装置が目立たないことを希望されていたため、上下両方ともに装置を裏側矯正(舌側矯正)で治療をおこないました。大人の矯正治療です。裏側矯正装置を使用し歯を4本抜歯して歯並びを改善しました。 治療期間は2年2ヶ月でした。 |
費用 | 122万5800円 |
副作用 | 虫歯、歯周病、歯根吸収、顎関節症 |
ガミースマイルの治療例
■治療前

■治療後

主訴 | ガミースマイル及び歯並びの審美的な改善 |
---|---|
治療方法 | マウスピース矯正 |
治療期間 | 2年間 |
通院回数 | 28回位 |
費用 | 88万円(税抜) |
リスク・副作用 | 外科処置による痛み |