矯正歯科
呉駅前矯正歯科の5つのお約束
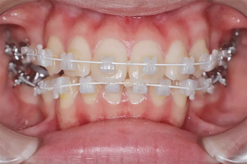
1、ホワイトブラケットやホワイトワイヤーで目立たない装置と裏側矯正装置やマウスピース矯正で人に気付かれずに矯正できます
当院ではホワイトブラケットやホワイトワイヤーを、裏側矯正装置(舌側矯正装置)やインビザラインシステム(マウスピース矯正)導入しておりますので、ご希望の方はお気軽に矯正相談にお越しください。
マウスピース矯正は取り外しが可能なので、歯磨きの邪魔にならずお口を清潔に保つことができます。
また違和感も少ないため楽に矯正治療を受けていただけます。
装置が目立たないからお仕事をされている成人の方の矯正治療(裏側矯正、舌側矯正を含む)も可能です。

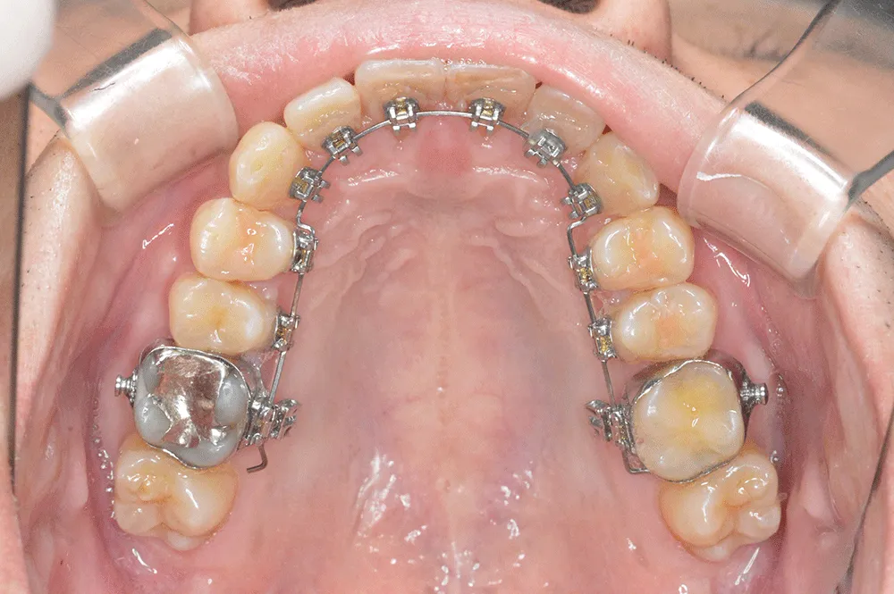
パッシブセルフライゲーションスロット リンガルストレートワイヤーシステム裏側矯正装置を当院では採用しております
呉駅前歯科では見えない矯正・裏側矯正(舌側矯正)を専門に使用しております。
裏側矯正治療を行うにあたりセラミックブラケット(白色な装置)や白いワイヤー、裏側矯正装置などによる治療を行っています。

2、リーズナブルでわかりやすい費用、分割払いも可能(最大84回)
当院の治療費はトータルフィーシステムですので、矯正治療全過程にかかる費用を診断時に御提示します。ですから、再診料がかかったり、矯正治療終了後に予想していたより治療費がかかった等の不透明な部分は全くありません。
毎月の調節料 0円
矯正相談時に無料見積もりを
お出しいたします
裏側矯正装置
費用 | 1,000,000~1,489,000円(税込) |
---|---|
リスク・副作用 | 歯周病、顎関節症、虫歯、口内炎、歯根吸収 |
未承認医薬品等であることの明示 (未承認薬剤機器を使用している場合) |
全て承認すみ |
国内の承認医薬品等の有無 | 全て承認すみ |
諸外国における安全性等に係る情報 | なし |
入手経路等の明示 | 株式会社トミーインターナショナル |
マウスピース矯正(インビザライン)
費用 | 561,000~969,000円(税込) |
---|---|
リスク・副作用 | 歯周病、顎関節症、虫歯、口内炎、歯根吸収 |
未承認医薬品等であることの明示 (未承認薬剤機器を使用している場合) |
インビザラインは薬機法上の承認を得ていません。 |
国内の承認医薬品等の有無 | インビザラインは、世界中で広く普及しているマウスピース型矯正装置です。当院のインビザライン・システムは、マウスピースや型取りに使用する口腔内スキャン装置について、日本の薬事法で認められた医療機器を使用しています。 しかし、マウスピースの製作は、アメリカのアラインテクノロジー社が海外の工場で行っています。このため、マウスピース自体は、日本の薬事法の対象とはなりません。 |
諸外国における安全性等に係る情報 | 世界中でマウスピース矯正を行うための装置が数十社から販売されており、アメリカでは歯科矯正の約3分の1がマウスピース矯正で行われています。その中でもインビザラインは、全世界で1,000万症例以上が治療されており、歯科矯正に伴う一般的なリスク以外の重大な副作用の報告はありません。 ただし、インビザラインは、日本の薬事法で認められた医療機器ではないため、医薬品副作用被害救済制度の対象とはなりません。 |
入手経路等の明示 | インビザライン・ジャパン社 |
3、矯正治療だけでなく抜歯、虫歯治療、総合的治療が当院だけで可能
広島大学病院矯正歯科とも連携
矯正治療で必要な抜歯も当院で可能です。また歯周病がある方は当院で歯周病の治療を受けていただくことも可能です。
広島大学病院矯正歯科からの派遣医師も在籍しているため万が一の場合も広島大学病院と連携して治療を進めていくことができます。
4、呉駅から徒歩2分!提携駐車場も完備!
呉駅から徒歩2分だから通いやすい。お車の方も提携駐車場があるから安心♫
5、虫歯や歯周病の予防のため矯正治療中は毎回クリーニング
裏側矯正治療中は毎回ワイヤーを外してクリーニングいたします。(クリーニング費用は無料)
だから虫歯や歯周病の心配がなく治療を進めていきます。
矯正歯科の流れ
数回の通院で済む虫歯治療と比べ、歯科矯正にはかなりの“時間”と“根気”が必要です。
まずご自分の歯、ご自分の健康ときちんと向き合い、自覚を持って治療を続けましょう。
美しい歯並びと正しい噛み合わせを手に入れれば、今よりずっと快適な生活が実現します。
当院の治療費はトータルフィーシステムですので、矯正治療全過程にかかる費用を診断時に御提示します。ですから、再診料がかかったり、矯正治療終了後に予想していたより治療費がかかった等の不透明な部分は全くありません。
-
- STEP.01矯正相談
(0円 お電話でご予約を
お願いします) - 矯正治療に関するカウンセリング、簡単な口腔内診査の後に、治療方針・矯正装置・矯正費用・矯正期間などについて、おおまかにご説明致します。当院では、患者様の歯科矯正への不安を解消して頂けるよう、どんな疑問にも丁寧にお答えします。
お支払い方法のご相談も承ります。
当院では最大84回払いも可能
- STEP.01矯正相談
-
- STEP.02矯正精密検査
- 実際の治療方針を決定するために、現在の歯並びや顎の骨の状態などを詳しくチェック致します。
具体的に行うのは、口腔内診査・口腔内写真・歯型の型取り・レントゲン写真などの精密検査を行います。
これらの情報を元に、患者様ひとり一人に最適な矯正治療のプランを立てます。
-
- STEP.03分析・診断
- 矯正治療に用いる装置の決定(選択)及び料金(治療費)治療期間についてお話し致します。
治療の必要のある虫歯や、抜歯すべき歯がある場合には、これらの処置を行うように指示致します。
-
- STEP.04装置装着
- 検矯正治療のための前準備(虫歯の治療など)が終了し、患者様の了解が得られた場合に、初めて矯正装置の装着を行います。装着には時間がかかるため、数回に分けることもあります。
-
- STEP.05装置調整および監視
- 月に1度来院して頂き、歯を移動させるためにワイヤーなどの調整や、順調に移動しているかどうかの監視を行います。
-
- STEP.06装置除去
- すべての歯移動が完了した場合に、装置の除去を行います。
-
- STEP.07保定期間
- 置除去後、移動した位置に歯を留めておくために、保定装置を装着致します。これは、取り外しが自由な可撤式の装置です。保定期間中は当院からの案内のもとご来院下さい。
矯正歯科を迷っている方へ
矯正治療を行うメリット
歯列矯正のメリットは、見た目だけではありません。
体調管理から疾患予防まで、歯並びを整えることには実は多くの利点があるのです。
しかし、一般的にはそれらの利点は知られていないことが多いです。

食べ物をしっかりと食べられる
歯並びが悪いと、バランス良く物が噛めません。噛み砕く力が弱く、食べ物を大きな塊のままの飲み込むことになり、胃や腸などにも負担がかかります。
矯正治療をすることで正しい噛み合わせとなり、これまで以上にものを噛む力が強くなります。これにより、片側の歯だけで食べ物を噛むというようなことがなくなり、お食事を正しく・美味しく・健康的に召し上がることができます。
虫歯や歯周病になる可能性を減らせる
歯並びが悪いと歯が磨きづらくなります。食べ残しが歯に挟まったままになったり、磨き残しができるため、歯垢や歯石が溜まり、虫歯や歯周病になりやすくなります。
矯正治療をすることで隙間を無くし、歯の健康を守ることができます。
あまり知られていないかもしれませんが、裏側矯正の場合、表に装置をつける場合よりも虫歯になりにくいと言うデータもあります。
顔の輪郭を正常にする
噛み合わせが悪いと、無意識のうちに片側だけで物を噛んだり、顎をずらして噛んでしまいます。
この状態が続くと、ずらした顎や口の片側の筋肉が硬直してしまい、顔の輪郭が変形してしまうことがあります。
裏側矯正治療を行うことで、こうした顔の輪郭をもとに戻すことが可能です。
人前で自身を持って、話せる・笑える
発音には前歯の噛み合わせが非常に重要です。
出っ歯、開口などで前歯がしっかり噛み合っていないと、息がもれてしまい上手く発音できないことがあります。
また、極端な出っ歯や受け口やデコボコの歯並びを美しいと思う人はあまりいません。口元の美しさは人に良い印象を与えます。裏側矯正なら矯正治療中も人前で笑ったり話すこともできます。
顎の病気や未病を予防する
悪い噛み合わせでは、きちんと噛みしめることができないため、顔や首周辺の筋肉、骨に悪影響を与えてしまいます。さらに悪いことは、消化器官はもちろん、発育や姿勢にも影響を与えると言われています。
噛み合わせを治すことで、周辺の筋肉のバランスを補正することができます。
近年、不眠の理由のひとつに、歯並びが関係しているとの報告があがっています。
監修 呉駅前歯科矯正歯科
院長 小笠原 一行
矯正歯科(裏側矯正やマウスピース矯正も含む)Q&A
マウスピース矯正(インビザライン)はどんな歯並びでも治せますか?
マウスピース矯正には限界がありますのですべての方に適応できません。
抜歯して矯正する場合も適応できる方もいらっしゃいます。詳しくは無料矯正相談にてお口の状態をみせていただければ適応可能かどうかお話できますので、お気軽に相談の予約をしてください。
マウスピース矯正(インビザライン)には食事の制限はありますか?
マウスピース矯正では食事の際にマウスピースを外して食事をしますので食事の制限はありません。
裏側矯正治療はどうやって行うのですか?
皆さんがよくご存知の金属の金具はもちろんですが、マウスピースなど様々な装置があります。矯正の処置は月1回位のペースで調整を加えていきます。
裏側矯正治療は痛くないのですか?
痛みというのは個人差がありますが、歯を動かすために弱い力を加えますので、数日間歯が浮いたような痛みがあるという方が多いです。ただし、これは正常な反応ですのでご心配いりません。マウスピース矯正でも歯が動くときの痛みはあります。
裏側矯正治療はいつ始めれば良いのですか?
歯並びの状態によって、かなり変わってきますので一概には答えられません。気が付いたら早めにご相談下さい。それぞれの患者様にベストな治療時期に治療を行います。
大人でも治療できますか?
大人でも治療可能です。当院では、お子様はもちろんのこと、かなりお年を召された方も矯正治療を受けておられます。
虫歯になりやすいでしょうか?
やはり何もない状態の歯に比べて、装置が付いている歯は汚れがたまりやすい分、虫歯になるリスクは高くなります。当院ではドクターや歯科衛生士が綿密にチェックを加えて、きちんと磨けるように指導させて頂きますが、毎日の家での歯磨きが重要になってきます。
マウスピース矯正(インビザライン)では歯磨きは普通にすることが可能です。
値段はいくら位かかりますか?
矯正治療を受ける年齢や歯並びの状態によって装置や治療にかかる期間が異なりますので、一概には言えません。当院ではハイレベルな治療を、できる限り安い費用でご提供致します。
子供が矯正治療を嫌がったときには、どうすればいいの?
治療を本人が自覚し協力的になるまで待ちましょう。しかし、治療をすることで永久歯を抜く可能性をかなり低くすることが可能です。
裏側矯正治療中に気を付けなければいけないことは?
・矯正装置が入ると装置にプラークが付きやすくなるので、今まで以上のブラッシングをする
・装置が壊れやすい食事を避ける
・治療の予約日や時間を守る
などに気をつけましょう。
食事は普通に食べられるの?
だいたいの食べ物は普通に食べられますが、注意が必要な食べ物、食べられない物もあります。
食べ方に注意
りんご、梨、セロリ、にんじんなどの丸かじり(このような食べ物は薄く、または細く切ってから食べる)
食べられないもの
硬いもの(硬い肉、するめ、厚いおせんべい、氷のまるかじり)、ねばり気のあるもの(キャラメル、餅、大学いも)
その他、質問やお悩みがございましたら、ご遠慮なく当院にお問合せ下さい。
監修 呉駅前歯科矯正歯科
院長 小笠原 一行
ワイヤー矯正中の生活上の注意
矯正治療を成功に導くためには、すべてを歯科医師まかせにするのではなく、あなたも積極的に治療に取り組んでいただかなければなりません。
歯科矯正は長期間かかる治療ですので、日常生活において注意しなければならないことがでてきます。
そこで矯正治療中に気をつけたいいくつかの注意点をあげました。

矯正治療中に注意すること
装置をつけた後
装置をつけた後、調整をした後は歯に力がかかりますので、数日歯が痛んだり、浮いたような感じがすることがあります。ただこのような痛みは、4、5日で治まりますので心配される必要は全くありません。ひどい痛みやずっと痛みが続いて引かないようならすぐにご連絡下さい。
ワイヤーが折れてしまった。
ワイヤーが折れたままの状態は、粘膜にひっかかるなどの症状があらわれます。また矯正治療上にも良くありませんのでご連絡の上、出来るだけ近日にご来院下さい。
一番奥からワイヤーが出てきた。
歯が動き始めると、歯のがたつき等でたわみのあった余分なワイヤーが一番奥の装置から出てきます。
このワイヤーが頬の粘膜にひっかかるなどの症状があらわれた時は余分なワイヤーをカットする必要がありますのでご連絡の上、近日にご来院下さい。
歯につけている装置が取れてしまった。
装置が取れてしまった時は、装置を付けなおす必要があります。ご連絡の上、近日にご来院下さい。
お渡ししてあるワックスで保護をしていただくと粘膜などにひっかかる事を防げます。
歯が痛む。
矯正治療による痛みが強く出るのは、治療初期に装置とワイヤーをつけた時です。個人差がありますが、通常は2~3日で治まります、痛みがひどい時は普段常用されている痛み止めを服用されると症状が軽減します。
痛みがひどく、長びく場合は状態を拝見する必要のある場合がありますのでご連絡下さい。
歯がしみる。
矯正中に歯がしみる時は、歯が動く事によって歯と歯ぐきの境目がひらいておこるケースと、もともとあった虫歯などが原因でおこるケースがあります。矯正治療が要因の場合は一週間程度で症状は治まります。しみる状態が長く続く時などは、処置が必要となりますのでご連絡下さい。
話しにくい。装置に舌があたる。
装置がついている状態に慣れるまでは話しにくい、舌があたるなどの症状がでる事があります。ワックスを使い保護をしていただく事で軽減されます。
口内炎が出来て痛む。
装置があたる所には口内炎が出来る事があります。ワックスで保護すると痛みが軽減されます。口内炎が出来やすい方にはお薬などもお渡し致します。ご相談下さい。
装置に付いているゴムが変色してきた。
装置まわりにゴムをつけている方は、カレー、からし、ミートソース等で変色する事があります。矯正治療上は問題ありませんが、気になる時は交換できますので、ご連絡の上ご来院下さい。
リテーナーが壊れてしまった。紛失してしまった。
リテーナーの使用も大切な矯正治療です。壊れた時、紛失の時は新しいものを作成する必要があります。ご連絡の上ご来院下さい。