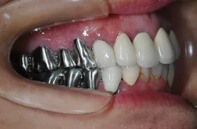
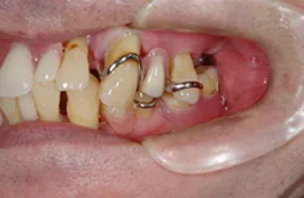
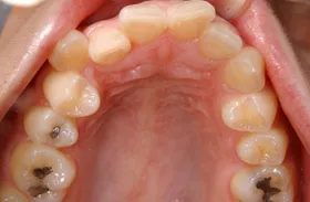
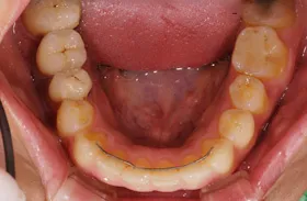
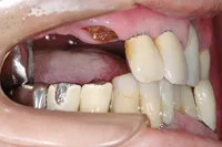
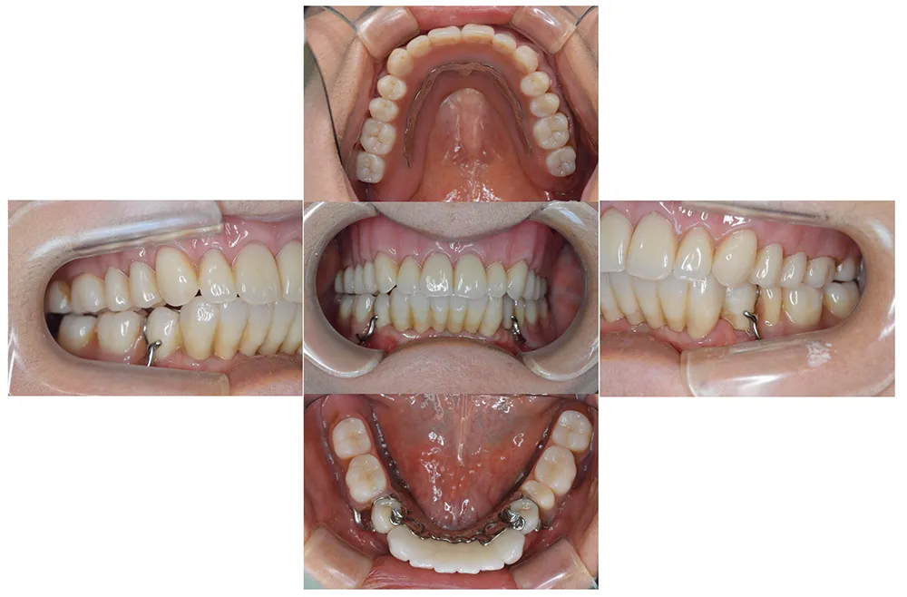
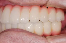
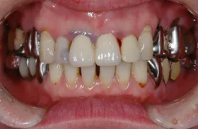
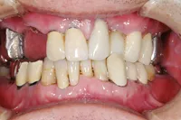
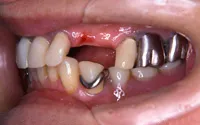
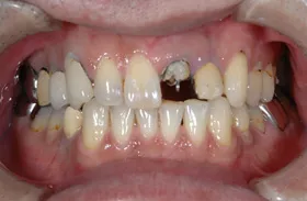
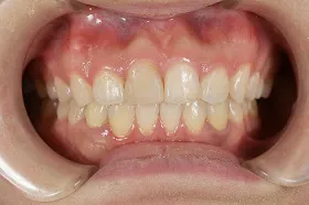
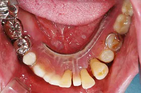
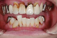
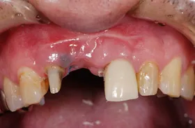
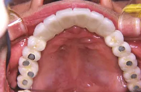
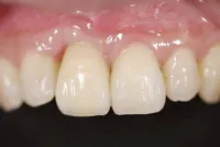
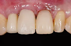
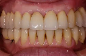
インプラントの症例
インプラント治療例
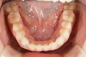
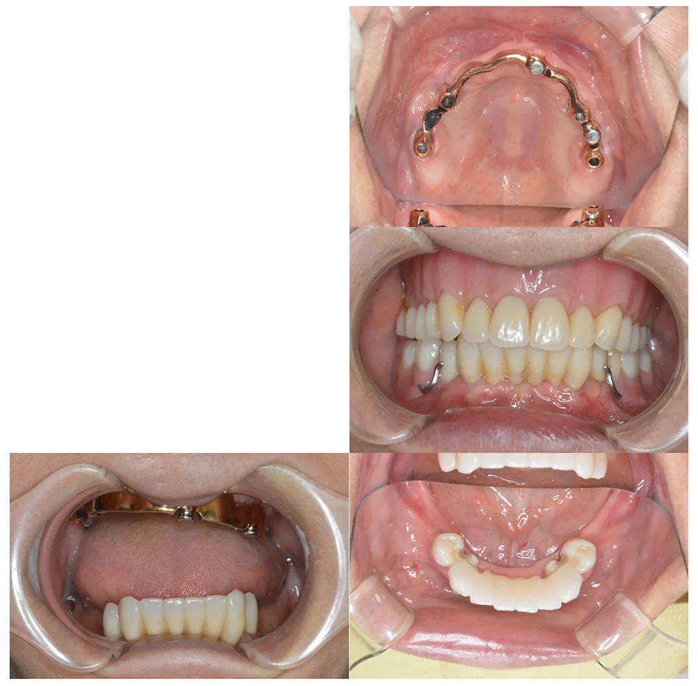
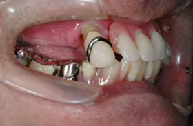
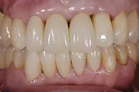
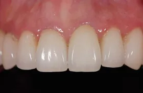
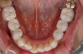
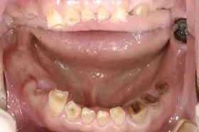
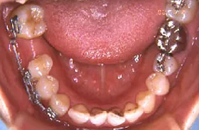
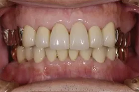
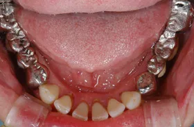
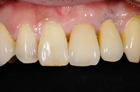
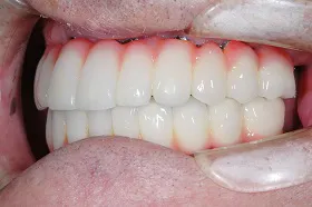
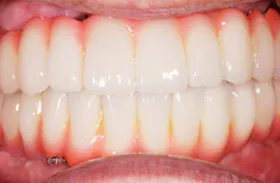
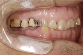
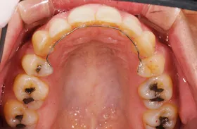
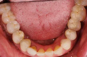
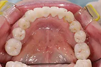
インプラントを使用した入れ歯の症例
■治療前
■治療後
| 主訴 | しっかりかみたい(咬合障害) |
|---|---|
| 治療方法 | 費用を抑える為、全てインプラントではなく、インプラントを土台とした入れ歯の治療 |
| 治療期間 | 約6か月 |
| 通院回数等 | 約20回 |
| 費用 | 約150万円 |
| リスク・副作用 | 術後の腫れ・痛み |
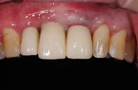
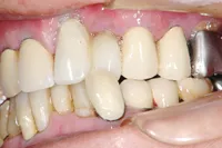
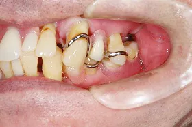
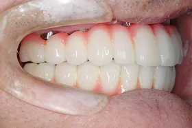
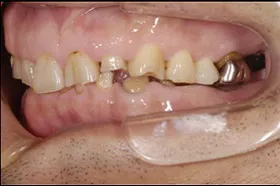
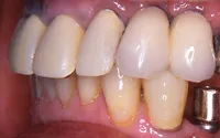
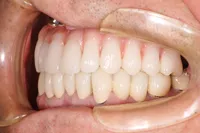
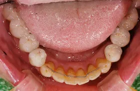
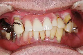
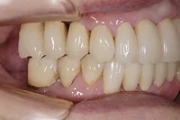
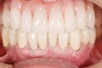
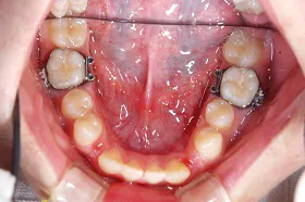
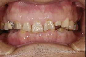
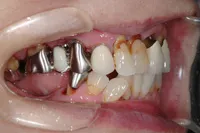
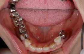
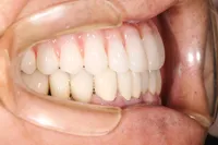
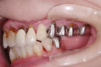
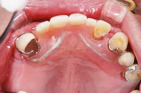
義歯での食事に満足されていないケース
■治療前:上下顎 義歯での食事に満足されていない
■治療後:上下顎 複数本のインプラントを使い固定式で治療
| 主訴 | 現在義歯を使用しているが、しっかりと咬んでなんでもおいしく食事したい |
|---|---|
| 治療方法 | 上下顎 複数本のインプラントを使用しての治療 |
| 治療期間 | 約1年 |
| 通院回数等 | 約20回 |
| 費用 | 約600万円(税込) |
| リスク・副作用 | 術後の腫れ・痛み |
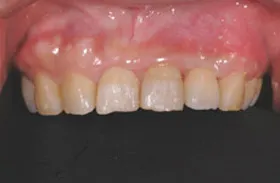
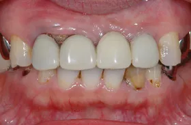
生まれつき歯が生えてこなかったケース
■治療前:生まれつき下顎左右前歯がなく隙間がある
■治療後:矯正治療後、下顎左右3番の2本にインプラント治療
| 主訴 | 生まれつき歯がなく隙間があり、審美障害・咀嚼機能障害がある |
|---|---|
| 治療方法 | インプラント治療 + 矯正治療 |
| 治療期間 | インプラント治療 約6ヶ月 |
| 通院回数等 | インプラント治療 約6回 |
| 費用 | 約94万円(税込) |
| リスク・副作用 | 術後の腫れ・痛み |
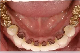
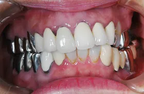
インプラント治療及び補綴治療のケース
■治療前:奥歯が無いため噛み合わせが深く下の歯が全く見えない
噛み合わせが低いため全体的に歯が削れている
■治療後:下顎 左下5・6番、右下4・6番にインプラント治療
その他の歯に補綴治療をしたことにより、奥歯もしっかりと咬むことができ、奥歯ができたことにより噛み合わせも上がって下の歯も見えるようになり、審美的にも改善された
| 主訴 | 歯科治療をしても歯がすぐに欠けてしまう 奥歯が無いため、奥歯で咬めない |
|---|---|
| 治療方法 | インプラント治療 + 補綴治療 |
| 治療期間 | 約1年 |
| 通院回数等 | 約20回 |
| 費用 | 約250万円(税込) |
| リスク・副作用 | 術後の腫れ・痛み |
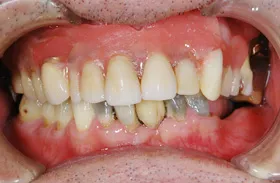
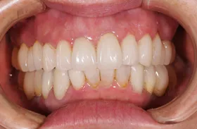
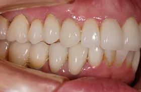
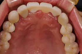
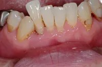
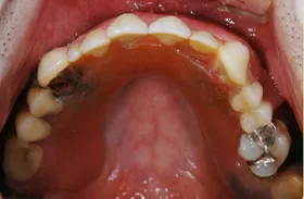
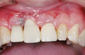
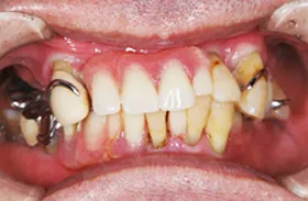
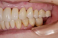
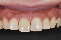
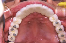
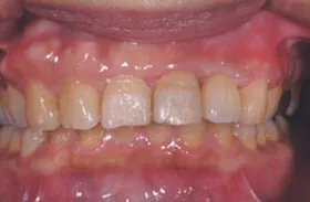
重度の歯槽膿漏のケース
■治療前
■治療後
■治療前
■治療後
■治療前
■治療後
治療のポイント
上下に入れ歯を入れていましたが、ここ数年しっかりと噛む事がなかった患者様です。何でもおいしく食事ができるようになりたいと希望され、来院されました。
治療法としては、最小限のインプラントの本数で対応ができるように、オールオンフォーを意識した治療法で対応させて頂きました。
| 主訴 | 噛めない |
|---|---|
| 治療方法 | 上顎8本、下顎6本のインプラントを埋入し固定性の入れ歯で治療した |
| 治療期間 | 約1年 |
| 通院回数等 | 20回 |
| 費用 | 上顎4,130,000円 下顎3,630,000円(税込) |
| リスク・副作用 | 治療後に一時的に腫れることがある |
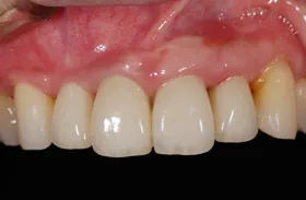
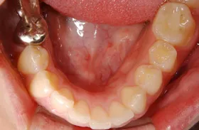
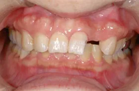
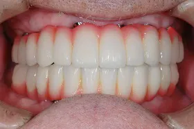
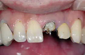
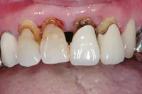
むし歯による前歯欠損の為来院されたケース
■治療前
■歯の根の引き上げ
■治療前
■治療後
治療のポイント
歯の根の位置を引き上げ、抜歯。その日にインプラント治療へ。
自然の歯と変わらない審美性を取り戻し、非常に満足されています。
| 主訴 | 上顎の真ん中の歯が折れた |
|---|---|
| 治療方法 | 歯の根を引き上げることにより、増骨するので、その後1本のインプラントを埋入し治療した |
| 治療期間 | 約1年 |
| 通院回数等 | 10回 |
| 費用 | 550,000円(税込) |
| リスク・副作用 | 外科治療なしで増骨させた為、治療期間が長くなった |
前歯欠損の為来院されたケース
■治療前
■治療後
■治療前
■治療後
治療のポイント
- 骨幅が狭い状態です。
- インプラントを埋めると同時に、骨を作る処置をさせて頂きました。
| 主訴 | 上顎の抜歯した箇所の機能障害・審美障害 |
|---|---|
| 治療方法 | 上顎の欠損部位に1本のインプラントを埋入し、同時に外科的治療で骨造成を行った |
| 治療期間 | 約1年 |
| 通院回数等 | 10回 |
| 費用 | 550,000円(税込) |
| リスク・副作用 | 外科的に骨を作る為、治療後に腫れることがある |
歯が割れた為来院されたケース
■治療前
■治療後
■治療前
■治療後
■治療前
■治療後
治療のポイント
- 右上奥の骨 → 骨をつくりました
- 前歯を支える歯茎 → 歯茎の幅をつくりました
- 左下奥の歯肉 → 歯肉を移植しました
骨が深く欠損していた箇所は骨を作り、歯茎が薄くなっていた箇所は増大させました。
また左下奥インプラントを支える歯茎が柔らかく、歯磨きが困難な為、歯肉を移植し丈夫な歯茎にしました。
| 主訴 | 上顎の前歯が割れて噛むことができない |
|---|---|
| 治療方法 | かみ合わせが低くなり、下の歯が上の歯に対して、突き上げていたのでかみ合わせの高さを修正し突き上げをなくした |
| 治療期間 | 約2年 |
| 通院回数等 | 40回 |
| 費用 | 5,500,000円(税込) |
| リスク・副作用 | 外科的に骨を作る為、治療後に腫れることがある |
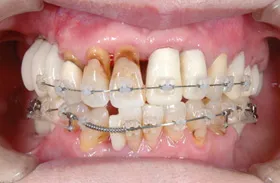
金属を白くし、歯茎の黒ズミを改善したケース
■治療前
■治療後
■治療前
■治療後
■治療前
■治療後
| 主訴 | 全体的に白い歯にして見た目をきれいにしたい 歯茎が黒くなっているのが気になる、歯ならびも良くしたい |
|---|---|
| 治療方法 | 矯正治療+歯茎の黒ずみの改善+補綴治療 |
| 治療期間 | 3年 |
| 通院回数等 | 約40回 |
| 費用 | 約350万円 |
| リスク・副作用 | 矯正治療も行ったので治療期間が長くなった |
矯正及びインプラントで治療のケース
■治療前1
■治療後1
■治療前2
■治療後2
■治療前3
矯正により歯の位置を適正な位置に動かし、歯の無い部分に対してインプラントにより回復したケースです。
■治療後3
上下とも美しい歯並びと噛み合わせになりました。 形だけでなく、色みも自然な仕上がりです。
| 主訴 | 下の歯が1本無いので歯ならびが良くなく、かみ合わせも悪い |
|---|---|
| 治療方法 | 矯正治療+インプラント治療+補綴治療 |
| 治療期間 | 約3年 |
| 通院回数等 | 約35回 |
| 費用 | 約160万円 |
| リスク・副作用 | 矯正治療も行ったので治療期間が長くなった インプラント術後の腫れ・痛み |
歯折により前歯を1本失ったケース
他院において、歯牙破折の為、隣の歯を削ってブリッジを勧められたが、歯を削りたくなかった為、当院においてインプラントを希望して来院されました。
隣の歯は樹脂状のもので形態を整え、一切削っていない。インプラント処置で、隣の歯を削らずに処置しました。
■治療前
■治療後
| 主訴 | 歯牙破折していたので他院にてブリッジでの治療を勧められたが 隣りの歯2本を削りたくないのでインプラント治療を希望 |
|---|---|
| 治療方法 | インプラント治療 |
| 治療期間 | 約6か月 |
| 通院回数等 | 8回位 |
| 費用 | 約50万円 |
| リスク・副作用 | インプラント術後の腫れ・痛み |
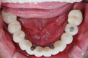
奥歯を1本長期間失ったケース
■治療前
向かって左の下の奥歯が、長期間失ったまま放置されていました。その為、向かって左奥の2本の歯が、前に倒れるように傾いてしまっていました。
まず、この傾きを治しました。治療期間は4ヶ月です。
■治療中
■治療後
■治療中レントゲン写真
その後、歯を失った場所には、人工の歯根であるインプラントを埋めて、白い歯をかぶせました。
■治療後レントゲン写真
このようにして、従来なら前と後ろの歯を削って治していくブリッジにせずに、治すことができました。
| 主訴 | 右下の奥歯をずいぶん前に抜きそのままにしていたら、奥歯が倒れてきた |
|---|---|
| 治療方法 | 部分矯正治療+インプラント治療 |
| 治療期間 | 約10か月 |
| 通院回数等 | 12回位 |
| 費用 | 約80万円 |
| リスク・副作用 | インプラント術後の腫れ・痛み |
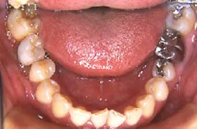
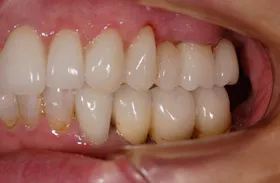
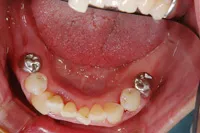
奥歯2本をインプラントで治療したケース
■治療前
■治療後
| 主訴 | 左下の歯が2本なくて咬みにくい 入れ歯はわずらわしいので嫌、金属の被せを白くしたい |
|---|---|
| 治療方法 | インプラント治療+補綴治療 |
| 治療期間 | 約1年 |
| 通院回数等 | 20回位 |
| 費用 | 約150万円 |
| リスク・副作用 | インプラント術後の腫れ・痛み |
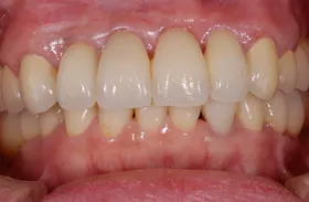
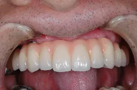
全ての歯をインプラントで治療したケース
上下ともに総入れ歯の患者様が来院され、「入れ歯ではなく、自分の歯のように何でも噛めるようにして、美味しく食事がしたい。」とおっしゃいました。
■治療前
■治療後
■治療中レントゲン写真
■治療後
■治療中レントゲン写真
患者様と相談して、入れ歯のように取り外すことなく、固定式で治していく事に決めました。上下にインプラントを8本づつ埋め、白い歯をかぶせるようにして治療しました。
■治療後
「お正月に、何年ぶりかでおもちを食べることができました。」と患者様に言われ、非常に嬉しく感じた症例です。
| 主訴 | 上下ともに総入れ歯を使用 入れ歯が外れやすくて美味しく食事ができないので、しっかりと咬んで美味しく食事をしたい |
|---|---|
| 治療方法 | インプラント治療 |
| 治療期間 | 約1年 |
| 通院回数等 | 15回位 |
| 費用 | 約680万円 |
| リスク・副作用 | インプラント術後の腫れ・痛み |
インプラントを土台とした固定性の入れ歯(all-on-4)
■治療前
■治療後
■治療前
■治療後
| 主訴 | 上の入れ歯が外れやすいのでインプラントで外れないものにしたい |
|---|---|
| 治療方法 | インプラント治療 |
| 治療期間 | 約9か月 |
| 通院回数等 | 13回位 |
| 費用 | 約350万円 |
| リスク・副作用 | インプラント術後の腫れ・痛み |
GBR治療例1
GBRとは、特殊な再生誘導膜(GBR膜)を使って、歯の骨を再生する治療法です。インプラントを埋め込むのに十分な骨の厚み、幅がない場合に用いられます。
通常は、インプラント埋入手術前に必要な骨を作るか、インプラント手術の時に、同時に作ります。
■治療前
■治療後
| 主訴 | 上顎の歯がないところをインプラントにしたい |
|---|---|
| 治療方法 | GBR治療+インプラント治療 |
| 治療期間 | 約1年 |
| 通院回数等 | 10回位 |
| 費用 | 約120万円 |
| リスク・副作用 | 術後の腫れ・痛み |
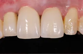
審美的観点から差し歯をインプラントにした治療例
他院にて歯茎がくぼみ差し歯が歯茎から浮いてしまい見栄えが悪い為、ブリッジを勧められました。
健康な両サイドの歯を削らないといけない為インプラントを希望されましたが、上顎の骨の量が足りずインプラントが出来ないとの事で他院から紹介された患者様です。
差し歯を除去した写真です。
歯茎を切開すると、上顎に大きな空洞がありインプラントを埋め込む為の骨がありません。
造骨材で骨を作っている写真です。
骨を造った後、インプラント治療を行いました。
審美的にも回復し、満足して頂きました。
| 主訴 | 歯茎のくぼみが気になる、他の歯は削りたくないのでインプラントにしたい |
|---|---|
| 治療方法 | GBR治療+インプラント治療 |
| 治療期間 | 約1年 |
| 通院回数等 | 12回位 |
| 費用 | 約65万円 |
| リスク・副作用 | 術後の腫れ・痛み |
ソケットリフトによるインプラント埋入のケース
■治療前
■治療後
ソケットリフトとは、上顎の骨を造る術式のひとつです。歯を抜いた後、インプラントを埋入する際に、十分な長さのインプラントを埋入するだけの垂直的な骨の量が得られない場合に用いられます。
インプラント埋入手術の時に、同時に行います。
| 費用 | 約11万円 |
|---|---|
| リスク・副作用 | 術後の腫れ・痛み |
サイナスリフトによるインプラント埋入のケース
■治療前
■治療後
サイナスリフトとは、上顎の骨を造る術式のひとつです。上顎の骨が薄く、インプラントを埋入する際に、十分な骨の高さが足りない場合に用いられます。
通常は、インプラント埋入手術前に必要な骨を作るか、インプラント埋入手術の時に、同時に行います。
| 費用 | 約22万円 |
|---|---|
| リスク・副作用 | 術後の腫れ・痛み |
インプラントのリカバリーの例
■治療前
他院でのインプラント治療後、歯肉が下がっていました。
他の歯の歯肉とラインがそろうように歯肉を形成しました。
歯肉のラインのアーチを回復させる治療をしております。
■治療中
■治療継続中
■治療後(治療継続中)
まだ仮り歯の段階ですが、ここまできました。
歯肉の高さはほぼ左右対称になったのではないかと思います。
■治療後
最終補綴物を装着しました。
| 主訴 | 歯肉ラインを揃えてきれいにしたい(審美障害) |
|---|---|
| 治療方法 | 外科治療(歯肉形成治療)+補綴治療 |
| 治療期間 | 約1年 |
| 通院回数等 | 15回 |
| 費用 | 約80万円 |
| リスク・副作用 | 外科治療で骨を造成させた為、術後の腫れ・痛み |
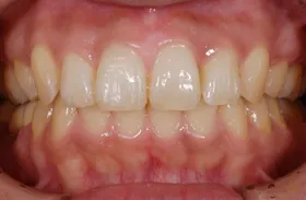
前歯部のインプラントの例
■治療前
真ん中の歯の間の歯間乳頭が不十分のため、ブラックトライアングルが見えてしまっています。
また、右上2番、歯根の問題のため、抜歯となりました。
■治療後
右上の2番目はインプラントですが、分かりますか?
| 主訴 | 右上の2番の歯の痛み・前歯をきれいにしたい |
|---|---|
| 治療方法 | インプラント治療+補綴治療 |
| 治療期間 | 約1年 |
| 通院回数等 | 約15回 |
| 費用 | 約100万円 |
| リスク・副作用 | インプラント術後の腫れ・痛み |
インプラントでの臼歯のかみ合わせの不調和改善例
■治療前
全ての歯の高さが、波を打ったような状態になって、咬み合わせが難しくなっています。
■治療後
■治療後
術前にあった、歯の高さの不調和の問題が改善できています。
| 主訴 | かみ合わせが悪くかみにくい・時々顎関節症による痛みがある |
|---|---|
| 治療方法 | 補綴治療(波打ったような歯の高さを平面になるように揃えてかみやすくした) |
| 治療期間 | 約1年 |
| 通院回数等 | 約20回 |
| 費用 | 約400万円 |
| リスク・副作用 | 補綴物が過度な力で破損するリスクがある |
矯正、インプラントのための骨再生、歯の保存のための再生治療を組み合わせて治療を行った例
虫歯と重度の歯周炎(歯槽膿漏)、歯並びに悩まれていたケースです。
■初診時の全体写真
治療のポイント
歯並びを整え、咬合を回復するため、矯正治療を併せてを行いました。
歯が既に抜けていて、骨が吸収してしまっていた部分は、インプラントの埋入に十分な骨量を確保するための骨再生治療(GBR)を行いました。
歯周病によって、歯を支える歯周組織が破壊されてしまっていました。歯を保存するため、再生治療を行いました。
■治療前
■治療後
■治療後
| 主訴 | 数年間、下の奥歯が無いため奥歯で咬めない 歯ならびが悪いため見た目が悪く口を開けて笑えないのとおいしく食事ができない 他院にて歯周病が治らないと言われた |
|---|---|
| 治療方法 | むし歯治療+骨再生療法(GBR)+矯正治療+インプラント治療+補綴治療 |
| 治療期間 | 約3年 |
| 通院回数等 | 約40回 |
| 費用 | 約500万円 |
| リスク・副作用 | 術後の腫れ・痛み |
咀嚼障害のため来院されたケース(all-on-4)
60代 男性
咀嚼障害、歯茎の痛みを訴えられ、来院されました。
■治療前
■治療後
| 主訴 | かみにくい・全体的に歯茎が腫れて痛みがある 痛みがある |
|---|---|
| 治療方法 | 上下顎に複数本のインプラントを使用し、一体型の補綴物をセット |
| 治療期間 | 約1年 |
| 通院回数等 | 約20回 |
| 費用 | 約600万円 |
| リスク・副作用 | 補綴物が過度な力で破損するリスクがある |

